An Exploratory Study of the Systemic Effects of Lead, Trichloroethylene, and a Mixture of Lead and Trichloroethylene Provided Concurrently by Oral Gavage to Male Rats

TR Number

Date

1998-12-18

Journal Title

Journal ISSN

Volume Title

Publisher

Virginia Tech

Abstract

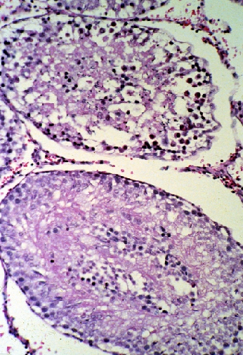
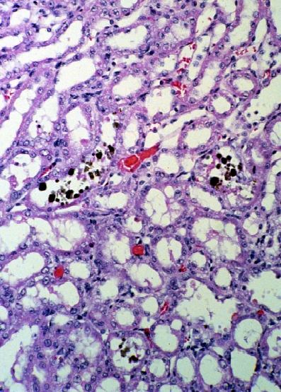
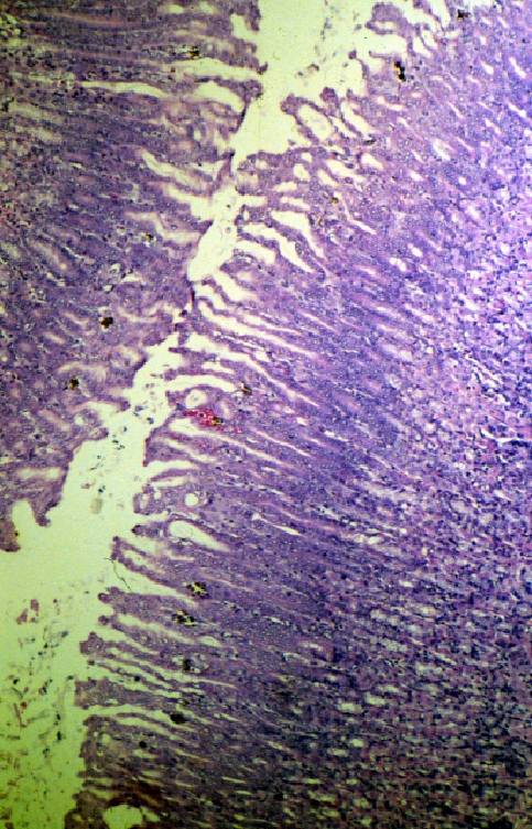
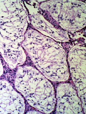
Forty rats, in groups of ten, were orally dosed with corn oil, corn oil and 2,000 mg/kg trichloroethylene (TCE), corn oil and 2,000 mg/kg lead carbonate, or a mixture of 2,000 mg/kg each TCE and lead carbonate, in an effort to determine whether or not dual administration of both TCE and lead would have an additive effect on neurotoxicity and overall health as indicated by behavioral and physiologic measurements and tissue pathology. A functional observational test battery (FOB) was performed before, during, and after dose administration to assess dose-related changes. The FOB testing assessed behavioral and physiologic measurements such as gait, open field activity, posture, grip strength, and handling reactivity. Pathological examination included assessing dosing related changes in the testis, spleen, heart, liver, kidney-adrenals, and brain.

Results indicated that each compound was toxic individually, and that the combination of the two neurotoxicants provided conflicting indications of both reduced and additive toxicity. The toxicity of lead carbonate caused the vast majority of toxic consequences in the study. A reduction in body weight and an increased resistance to cage removal were the only statistically significant changes observed in the FOB that were due to concurrent administration of lead and TCE. Organ-to-body weight and organ-to-brain weight calculations showed evidence of a statistical difference between the lead and lead/TCE dosed animals for liver, kidney-adrenals, and body weight. The significance of these changes is not fully understood.

Description

Keywords

FOB, Neurotoxicity, Lead Carbonate, Lead, Trichloroethylene

Citation

Collections