Magnetic Resonance Imaging of the Normal Equine Larynx

Files

TR Number

Date

2006-06-22

Journal Title

Journal ISSN

Volume Title

Publisher

Virginia Tech

Abstract

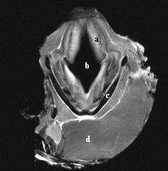
A study was performed to establish the appearance of normal equine laryngeal cartilages using magnetic resonance imaging. Specimens were acquired from clinically normal horses that were euthanized for reasons other than respiratory disease. Three in situ and 5 ex vivo larynges were imaged using a 0.3 Tesla system. Images were obtained in the transverse plane using T1-weighted 3D spin echo, T2-weighted 3D spin echo, T2-weighted gradient echo, short tau inversion recovery (STIR), and proton density spin echo sequences. Five ex vivo larynges were also imaged in the transverse plane using a 1.5 Tesla system, sequences included T1-weighted 3D spin echo, T2-weighted 3D turbo-spin echo, turbo inversion recovery (TIRM), and proton density spin echo sequences. A frozen gross laryngeal specimen was sliced in 5-mm transverse sections for comparison to the MR images. Excellent correlation was found between MR images and the gross transverse sections. Successful imaging was accomplished using both imaging systems; however, the 1.5 Tesla system yielded superior image resolution. The 0.3 Tesla imaging system would accommodate the intact equine head, which was not possible using the 1.5 Tesla MRI system. The internal morphology of the laryngeal cartilages was clearly identified in all imaging sequences obtained. Cartilages were found to differ in signal intensity based on the tissue composition and imaging sequences performed. MRI was determined to be a useful imaging modality for evaluating the cartilage morphology of the equine larynx. Further investigation is required to document pathologic morphology.

Description

Keywords

magnetic resonance imaging, larynx, Horses, MRI, respiratory

Citation

Collections